What is Derma-lux Triwave?
The Derma-Lux Triwave is a non-invasive LED Phototherapy system that treats the skin. This system uses wavelengths of light energy to stimulate the regeneration of new cells and repair of the skin. The Derma-Lux targets the hands and face to create smooth undamaged skin. The Triwave combines three LED light sources: blue (415nm), red (633nm) and near infrared light (830nm) to treat the damaged skin cells. This LED system uses full treatment coverage to treat skin concerns on the face and body. The machine takes around 20 minutes to treat the skin and 10 minutes for the post-treatment section. The Derma-Lux uses natural light to rejuvenate and brighten the skin.

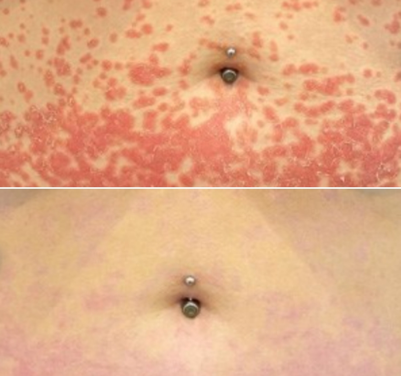
Benefits of Derma-Lux Triwave
This treatment creates long-lasting results and treats stubborn skin conditions. The light Phototherapy stimulates the production of vitamin D and triggers the growth of new cells. Constant exposure to UV light is damaging to the skin however the red, blue and near infrared light are controlled to be beneficial to the skin at the wavelengths they are emitted. The treatment is heat and chemical free which means that there is no harm to skin from this treatment. Patients will find their skin is glowing and looks youthful at the conclusion of the treatment as the Derma-Lux stimulates the production of collagen and elastin. The Derma-Lux is known to treat all skin types across different skin concerns.
These skin concerns include:
- Circulation problems
- Redness
- Irritation
- Blemishes
- pigmentation
Your consultation at Shellharbour Skin
It is important to attend a consultation before having your treatment. In your consultation with Dr Barney Gordon, he will discuss your medical history, current intake of medication and supplements and your cosmetic procedure history. This is the perfect time to discuss any queries you may have surrounding the Derma-Lux Triwave and our team will reassure any concerns you may have. Your ideal results will also be discussed in your consultation to create a personalised treatment plan. Contact our team today to book your next consultation for your Derma-Lux Triwave treatment.
What to expect
Before the procedure, you will be asked to remove any remaining makeup, sunscreen and skincare products so the light can be fully absorbed by the skin. Our team also recommends exfoliating prior to your treatment as this helps to remove dead skin cells and allows for the skin to adequately absorb the light. Patients do not need to remove contact lenses during the treatment. The treatment lasts for between 20 to 30 minutes depending on the treatment area and type of skin imperfection being treated.
Dr Barney Gordon can change the wavelengths of the treatment to suit your skin type and skin condition. The LED phototherapy device will be placed close to the skin. The skin absorbs light to stimulate the rejuvenation of cells and the production of collagen and elastin. The Derma-Lux Triwave LED phototherapy system applies three wavelengths of light that improve the complexion of the skin. The treatment uses red, blue and infrared lights to treat different skin types. The red LED light focuses on targeting signs of ageing and inflammation and the blue LED light targets bacteria as a treatment for acne and the infrared LED light targets the reduction of scarring. LEDs do not damage the skin as they do not contain harmful UV rays and instead increase the hydration of the skin. After 30 minutes the LED phototherapy device will be taken away from the skin. This procedure is known to be relaxing and rejuvenating, reducing stress levels. After the LED phototherapy is finished the skin will continue to improve due to the light energy stimulating the production of collagen and elastin.
Cost of Derma-Lux Triwave treatments in Illawarra
Our treatments at Derma-Lux Triwave vary in price due to several factors. These factors range from the number of areas of concern, the areas to be treated and the number of sessions needed. Each treatment is personalised with these factors and therefore each patient has a personalised treatment plan. In your consultation, Dr Barney Gordon will provide you with a personalised cost of your procedure. To learn about the price of your treatment book a consultation with Shellharbour Skin Clinic today!
Results & aftercare for Derma-Lux Triwave
Each patient finds that results differ from a Derma-lux Triwave treatment depending on the area of treatment and the extent of the skin concern. Patients will find an overall improvement in skin tone and texture, hydration of the skin, a reduction in redness and acne as well as a healthy glow. Patients will need to practise aftercare to ensure their skin heals correctly. After a Derma-Lux Triwave treatment the skin may have some redness and irritation. This can be treated with the application of an ice pack however both symptoms will resolve quickly after the treatment. It is recommended patients avoid excessive sun exposure and instead practise sun safety by wearing sun safe clothing and sunscreen. Patients can apply makeup post-treatment. It is important that patients stay hydrated after their treatment to aid the body in eliminating toxins. Patients can return to their normal activities immediately post-treatment.
Risks & complications
There are no risks and complications of the Derma-lux Triwave phototherapy system as LEDs do not harm the skin. This procedure is not known to cause irritation or side effects as it is non-invasive. A complication with light sensitivity can occur if patients are taking photosensitive medications however Dr Gordon will discuss your medications to ensure that this risk does not occur. The treatment feels like a warm sensation with no pain or tingling. The risks of treating pregnant women or those undergoing cancer treatment are unknown and therefore this is not recommended.
Frequently Asked Questions
How many treatments of Derma-lux Triwave should I have?
Each patient will be recommended a different number of treatments depending on several factors including your skin type, area of treatment and skin condition being treated. In your consultation, Dr Barney Gordon will assess this and provide you with an approximate number of treatments needed for your skin.
Can I have this treatment at the same time as another treatment?
Those looking to have other skin treatments should consider scheduling them on the same day as their Derma-lux Triwave treatment. This phototherapy system can be combined with other treatments and some treatments will also reduce post-treatment redness of the Derma-lux Triwave procedure. Contact our team to organise your next skincare treatments.
If you have a question, get in touch and one of our staff will be in touch shortly.